首页 企业频道正文

牙齿烂了,补牙仍是拔牙?

小业 企业频道 2021-03-19 15:31:19 4978 0

牙齿疼的凶猛邓旋,痛快拔掉算了?

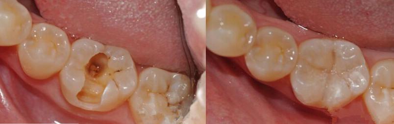
千万不成!一般情况下,医生都是尽量不拔牙邓旋。一般的龋齿都能通过填充(补牙)的体例处理,若是龋齿过于严峻,蛀到了牙神经,那就需要做根管治疗肃清龋坏消弭炎症,最初还需要做个牙套庇护。

牙齿烂了strong邓旋/strong,补牙仍是拔牙?

现实上在临床上需要『拔牙』的情况很少,除非『龋齿』开展严峻,或者有出格复杂的情况,才会建议『拔牙』邓旋。若是你忍耐不了痛苦悲伤而选择『拔牙』,那是一种极为不明智的做法。

因为就算拔掉患牙邓旋,暂时的痛苦是制止了,但缺牙也出缺牙的危害,到那时,你仍是要镶牙、种牙,不只费时吃力费钱,并且最末修复的义齿效果再好也比不上天然牙用得恬逸,不是吗?

牙齿烂了strong邓旋/strong,补牙仍是拔牙?

牙齿烂了仍是及早预防及早处置,前期能够通过补牙来挽救,开展到后期就需要做根管治疗了额,若是连『根管治疗』都无法挽救只能拔掉还要再镶牙邓旋。所以,为了本身的牙齿安康,仍是及早的预防『龋齿』吧~

既然都看到最初了邓旋,那就赶紧存眷一下吧!莫非你要比及老掉牙了再存眷河马牙医头条号吗?

免责声明

本文仅代表作者观点,不代表本站立场,著作权归作者所有;作者投稿可能会经本站编辑修改或补充;本网站为服务于中国中小企业的公益性网站,部分文章来源于网络,百业信息网发布此文仅为传递信息,不代表百业信息网赞同其观点,不对内容真实性负责,仅供用户参考之用,不构成任何投资、使用建议。请读者自行核实真实性,以及可能存在的风险,任何后果均由读者自行承担。如广大用户朋友,发现稿件存在不实报道,欢迎读者反馈、纠正、举报问题;如有侵权,请反馈联系删除。(反馈入口)

本文链接:https://www.byxxw.com/zixun/19514.html