“看镜头,微笑……”随着摄影师手中相机的一声“咔嚓”,李女士和爱尔眼科医院集团深圳大区总院长、深圳爱尔眼科医院院长、眼底病眼外伤学科带头人秦波教授以及医务人员的身影定格在了相框内。

△术后,李女士与秦波教授及医务人员合影
“我将终生珍藏和深圳爱尔眼科医院光明天使们的合影。”看着这张合影,李女士动情的说道。
眼前突发黑影,竟是黄斑裂孔
李女士今年刚满50岁,常年在深圳打拼的她有着一份不错的工作和一个令人艳羡的幸福家庭,可谓是人生赢家无疑了。可近日,老天爷却似乎“捉弄”起了她。
“当时正在家休息,突然感觉自己看东西好像变得有点‘不一样’了,我试着捂住右眼,发现左眼不仅有黑影遮挡,视力也几乎丧失了。”李女士说,当时眼前“一抹糊”,除了人影晃动,啥都看不清了!
李女士意识到自己的左眼肯定是出了问题,惊慌失措的她赶紧到附近的医院就诊。通过检查,被诊断为黄斑裂孔,亟需手术。“当检查结果出来之后,医生告知我黄斑裂孔是一种复杂、棘手,手术难度大的疾病,那一刻我的内心慌乱极了。”由于李女士病情的复杂性,接诊医生推荐李女士到深圳爱尔眼科医院找秦波教授。“他告诉我深圳爱尔是一家专业的眼科医院,秦波教授更是一名在眼底领域具有很深造诣而且经验丰富的专家。”在医生的推荐下,李女士当即前往深圳爱尔眼科医院。
城市被迫“暂停”,但爱仍在前行
“我的内心惴惴不安,很担心深圳爱尔会不会因为疫情而没有办法为我安排检查和手术。”原来,自虎年春节以来,深圳市新冠肺炎疫情防控形势严峻,连续几日的数十例新增让繁华的深圳被迫按下了“暂停键”,而李女士到深圳爱尔眼科医院就诊的那天恰好在“停摆”期间。
“可到了医院之后我发现,我所有的担忧都是没有必要的!”李女士说,虽是疫情之下,但深圳爱尔的医务人员依然坚守在守护市民眼健康的岗位上。更因为李女士病情的紧急情况,医院还特地为她开辟了绿色就医通道。
那天,在李女士的身上,还发生了一件令她感动且难以忘怀的“小事”。“做完检查时已经是中午一点多了,为了帮我尽快诊断并制定诊疗方案,秦波教授甚至来不及吃午饭,一直在诊室内为我讲解和分析检查结果。”说到秦波教授,李女士的言语中满是感激,而对另外一名护士,她也是充满了感动。“因为疫情而‘停摆’的深圳,所有的餐厅都暂停了堂食。而做检查到一点多的我,早已饥肠辘辘。一位小护士知晓后,她主动将自己的午餐让给我,令我意外而又感动!”李女士说,城市虽然因疫情而被迫“暂停”,可深圳爱尔眼科医院的爱却仍在前行。这不仅是一家专业的眼科医院,更是一家有爱、有温度、值得信赖的医院。
精湛医术,成功解决眼疾
“治疗黄斑裂孔的有效方法是手术治疗,如果不及时手术,会造成裂孔进一步扩大,甚至视网膜脱离,造成视力的不可逆性丧失。”为了帮助李女士解决眼疾,秦波教授根据她的具体检查结果为她制定了适合的手术方案,并亲自为她实施了手术。

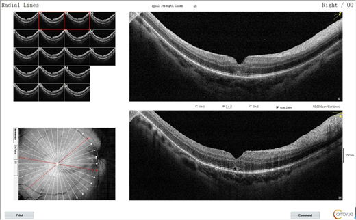
△术前黄斑OCT,黄斑裂孔明显,284μm

△手术成功,黄斑裂孔愈合
“让我感到意外的是,手术竟然在半个小时左右就结束了,而且那么成功!”对于秦波教授既高超又快速的手术操作,李女士在惊讶之余频频称赞!
“秦老师把手术当成艺术,追求完美,看秦老师做手术是一种享受,他的速度非常快,行云流水,游刃有余……”在李女士称赞的同时,站在一旁的秦波教授的学生接下了话匣。
“秦波教授不仅医术高超,还特别有耐心,是他让我真切的感受到了‘医者仁心’这句话的含义。也很感动护士对我的关怀和照顾,是你们让我找回了光明的希望!”李女士向秦波教授以及医务人员表达了她深深的感谢之情。

△秦波教授细心的叮嘱李女士术后注意事项
“我现在能够明显的感觉到自己的视力提升,看东西也清晰了许多,我真的很开心!”如今,李女士距离做完手术已经过去了半月有余,其视力也从术前的0.16恢复到0.5。随着视力的不断提升,她脸上的笑容也逐渐绽放了开来。因为她相信:视力会恢复得越来越来好,未来也会越来越明亮……
免责声明
本文仅代表作者观点,不代表本站立场,著作权归作者所有;作者投稿可能会经本站编辑修改或补充;本网站为服务于中国中小企业的公益性网站,部分文章来源于网络,百业信息网发布此文仅为传递信息,不代表百业信息网赞同其观点,不对内容真实性负责,仅供用户参考之用,不构成任何投资、使用建议。请读者自行核实真实性,以及可能存在的风险,任何后果均由读者自行承担。如广大用户朋友,发现稿件存在不实报道,欢迎读者反馈、纠正、举报问题;如有侵权,请反馈联系删除。(反馈入口)
本文链接:https://www.byxxw.com/zixun/27972.html- 上一篇: 助力抗疫·感谢有你|深圳爱尔派送护眼大礼包啦!
- 下一篇: 年仅35岁,他却罹患了白内障!








