在多数人的认知,白内障是一种老年病,岁数大的人才得。但凡事无绝对,近日,小编就在暨南大学附属深圳爱尔眼科医院遇到一位罹患白内障的42岁女子。
42岁女子罹患白内障,竟是因为这个举动
用一句话概括女子的现状就是“年纪不大,症状不少!”
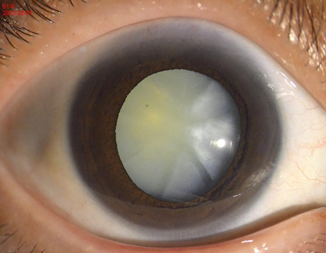
随机血糖20.6mmol/L(正常随机血糖值<11.1mmol/L),血压190/100mmHg(正常血压值低于140/90mmHg),双眼视力分别骤降至手动(眼前只能分辨手晃动)及0.25,其中症状重的右眼瞳孔中央呈白色......这些都是女子初次检查出现的症状。看到这里,想必不少人都是一头雾水,到底是发生了什么事情,才会有如此多的症状。

△女子初步检查时的右眼状况
事实上,这位女子所做的事并不罕见,甚至与我们的日常生活息息相关。据女子描述得知,她最近半年都没有工作,整个人非常地懒散,每天的生活都是围绕着吃饭、睡觉、玩手机...尤其是玩手机的时长每天都长达10小时以上。此外,她之前患高血压时,仅用药物进行简单控制,还把只是有好转迹象当成已经痊愈。因此,安逸和幸运并没有伴随她后半生,近期的不健康生活方式导致她血压急剧升高的同时血糖也出现异常。最终,这位女子被确诊为因血糖迅速升高而引起的代谢性白内障。
面对这个让人不寒而栗的病症,暨南大学附属深圳爱尔眼科医院胡尊霞主任做出解释,缓解大家的恐惧,她说,“如果是单纯地、有节制地玩手机,基本是不会患白内障。但像上述这位女性一样的生活习惯——罹患高血压、不控制饮食、长时间久坐不动玩手机,就会导致血压、血糖的异常,发生白内障致视力严重下降,有些患者还会伴有眼底疾病。更不可忽视的是,高血糖、高血压还会影响到体内的其他重要器官的功能,严重时可危及生命。”
暨南大学附属深圳爱尔眼科医院提醒大家,不可忽略代谢性白内障
说起白内障,大多数人都会联想到老年性白内障,毕竟这是最常见的一种,但大家要注意的是,白内障其实是复杂多样的,年轻人也是不可能完全避免的。白内障是指任何先天性或后天性因素,引起晶状体光学质量下降的退行性改变,其发病机制复杂,除常见的年龄增加、老化所致外,代谢异常、外伤、合并其他疾病、使用某些药物(尤其是激素)、遗传和环境等也均可引起白内障。
就像上述的这位42岁的患者,她罹患的就不是老年性白内障,而是一种少见的代谢性白内障。另外,该患者目前需要先通过药物来稳定血糖及血压,等到正常之后,才可安排手术治疗。这也意味着,她的眼睛还要承受一段时间的痛苦。
据暨南大学附属深圳爱尔眼科医院副院长司马晶教授介绍,“代谢性白内障是由于全身的代谢性疾病而引发的白内障,其中糖尿病性白内障最多见,还有半乳糖性白内障、手足搐搦性白内障等。除了手术治疗白内障外,全身代谢性疾病的治疗也十分重要。”
“更要引起大家注意的是,代谢性白内障会发生在年轻人身上,而且一旦有苗头,会迅速使晶状体肿胀、混浊,是非常危险的一种白内障!”司马晶教授补充提醒道。
小编也在此提醒大家,若出现视物模糊、重影、眩光、近视加深等症状,要及时到专业医院就诊,如果忽视治疗,会对工作、生活造成很大的影响,而且随着病情的发展,白内障患者患上青光眼的概率也会越来越大。
暨南大学附属深圳爱尔眼科医院为白内障患者保驾护航
据悉,白内障专科是暨南大学附属深圳爱尔眼科医院最早成立的专科之一,由该院副院长兼白内障学科带头人司马晶教授带领临床经验丰富的白内障专家组成,包括国内著名的曹加国主任、胡尊霞博士等多位白内障专家。他们一直致力于为白内障患者提供专业的、高水准的诊疗服务。

△从左至右依次为曹加国主任、司马晶教授、胡尊霞博士
白内障科室不仅配备了国际一流的飞秒激光白内障等先进仪器,以及业界较齐全的人工晶体,还在飞秒激光辅助白内障手术、屈光性白内障手术方面积累了大量的临床经验,尤其在老视白内障、高度近视白内障、外伤性白内障、晶状体脱位及人工晶状体复合体脱位等疑难白内障手术方面经验丰富。因此,暨南大学附属深圳爱尔眼科医院可以为深圳及广东省广大白内障患者提供优质、高效、安全的手术方式,也能满足不同患者的个性化需求。
此外,暨南大学附属深圳爱尔眼科医院从创建之日起,就把“使所有人,不论贫穷富裕都享有眼健康的权利”作为其宗旨,不断提高医疗技术和医疗服务水平,为患者提供优质、舒适、安全的医疗服务。
免责声明
本文仅代表作者观点,不代表本站立场,著作权归作者所有;作者投稿可能会经本站编辑修改或补充;本网站为服务于中国中小企业的公益性网站,部分文章来源于网络,百业信息网发布此文仅为传递信息,不代表百业信息网赞同其观点,不对内容真实性负责,仅供用户参考之用,不构成任何投资、使用建议。请读者自行核实真实性,以及可能存在的风险,任何后果均由读者自行承担。如广大用户朋友,发现稿件存在不实报道,欢迎读者反馈、纠正、举报问题;如有侵权,请反馈联系删除。(反馈入口)
本文链接:https://www.byxxw.com/zixun/29975.html







